Characterization of fracture process
[ Slide 23 of 42 ]


Table of contents
  • Introduction
  • Outline
  • What is hydrogen-related failure

  • Mysteries of hydrogen-related failure
  • States of hydrogen in steel
  • Characterization of fracture process
  • Concern of strain-induced vacancies with the susceptibility
  • Amorphization associated with crack growth in ferritic steel
  • Summary
    Slide Presentations
    E-mail: nagumo@waseda.jp
    Slide23

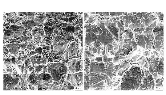
    Fractographic features of non-charged (left)
    and hydrogen-charged (right) steels.