Electron backscattering diffraction study of coalesced bainite in high strength steel weld metals

E. Keehan, L. Karlsson, H. K. D. H. Bhadeshia and M. Thuvander

Abstract

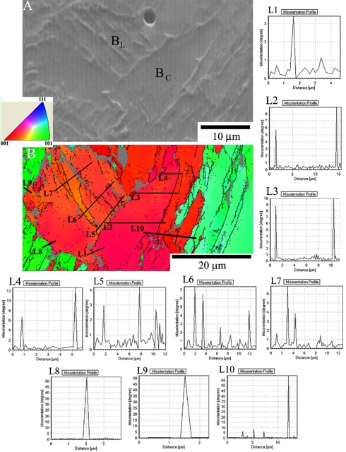
Coalesced bainite is a coarse constituent recently found to develop along with the classical martensite, lower and upper bainite in steel weld metals. Its crystallography has been characterised using electron backscattering diffraction in combination with field emission gun scanning electron microscopy. It is confirmed that coalesced bainite grains are crystallographically homogeneous but do contain orientation gradients. The misorientations across different grains of coalesced bainite and relative to conventional bainite have also been studied. The observations are discussed in the context of the mechanism by which coalesced bainite evolves.

Materials Science and Technology 24 (2008) 1183-1188

Download PDF file of paper (without colour)

Download PDF file of paper (with colour)

Related papers

Colour versions of EBSD figures















Coalesced Foam TWIP FSW 3D
Texture Properties Silicon Synchrotron Models
Neural Networks Creep Mechanicallly Alloyed Theses Retained Austenite

PT Group Home Materials Algorithms